Abscesos cerebrales por Nocardia spp en paciente inmunocompetente
Cerebral abscesses by Nocardia spp in immunocompetent patient
Nicolás García Roldán, MD. George Chater Cure, MD., Residentes de Neurocirugía, Universidad El Bosque. Germán Peña Quiñones,
MD. Neurocirujano, Sección de Neurocirugía. Profesor Titular, Universidad El Bosque. Correo electrónico: gchater@hotmail.com. Fernando Hakim, MD. Neurocirujano. Profesor
Asociado, Universidad El Bosque. Hospital Universitario, Fundación Santafé de Bogotá. Bogotá, Colombia.
Recibido: 09/09/09. Revisado: 16/02/10. Aceptado: 13/03/10.
RESUMEN
La nocardiosis es una infección localizada o diseminada causada por un microorganismo aeróbico. En el sistema nervioso central (SNC) es poco común, sólo 2% de todos los abscesos cerebrales. Usualmente afecta a los pacientes inmunocomprometidos y es muy rara en los inmunocompetentes. En ambos causa una morbimortalidad significativa. No hay un tratamiento ideal; la cirugía desempeña un papel importante, ya que facilita el diagnóstico bacteriológico y en ocasiones alivia la presión intracraneana.
Se presenta un paciente de 58 años con cefalea intensa y hemiparesia. El estudio de resonancia magnética demostró múltiples lesiones cerebrales. Se hicieron estudios de extensión para metástasis cerebrales, pero todos fueron negativos. Se efectuó una biopsia cerebral esterotáxica, negativa para malignidad en los cultivos creció una Nocardia spp. El manejo antibiótico ocasionó mejoría clínica significativa y a los 18 meses post-tratamiento el paciente está asintomático.
PALABRAS CLAVES. Absceso cerebral, Nocardia, Biopsia, Estereotáxica.
SUMMARY
Nocardiosis can be a localized or disseminated infection caused by an aerobic microorganism. In the central nervous system (CNS) is rare, only 2% of all brain abscesses. It usually affects immunocompromised patients and is uncommon in immunocompetent, but cause significant morbidity and mortality in both. There is no ideal treatment, surgery plays an important role because it facilitates the bacteriological diagnosis and sometimes relieve intracranial pressure.
This paper reports a patient of 58 years with severe headache and hemiparesis. The MRI showed multiple brain lesions. Studies to rule out brain metastases were done, but all were negative. One stereotactic brain biopsy, negative for malignancy was positive for Nocardia spp. The antibiotic treatment gave a significant clinical improvement and 18 months after treatment, patient is asymptomatic.
KEY WORDS. Brain abscess, Nocardia, Biopsy.
INTRODUCCIÓN
La infección por nocardia no es común, la presentación clínica en el sistema nervioso central no se asocia generalmente a síntomas infecciosos, lo que genera una patología difícil de diagnosticar (1). Es una bacteria oportunista, ubicuita en el ambiente, que se puede presentar en pacientes con alteración o no del sistema inmune (1-3). Presentamos un caso de manejo multidisciplinario de nocardia cerebral primaria con recuperación posterior a un enfoque adecuado e inicio de tratamiento antibiótico oportuno.
Caso clínico
Paciente de sexo masculino, de 58 años de edad, diestro, quien consultó al servicio de urgencias por cefalea de 3 días de evolución, tipo peso frontal severa que no cedió a la administración de acetaminofén. Negó náuseas, emesis, diplopía o síntomas disautonómicos. La familia refirió que en las últimas dos semanas “no utiliza” el hemicuerpo izquierdo y que estrelló el carro en dos oportunidades por el lado izquierdo. Perdió el trabajo hace dos semanas y ha estado con ánimo depresivo.
Como antecedentes, desde hace un año presenta alteración de la memoria reciente, temblor del escribano, tromboembolismo pulmonar. Al examen físico, alteración leve de la memoria reciente y paramnesias; en la prueba del reloj hemiinatención del lado izquierdo, hemiparesia 4/5 izquierda; sin reflejos patológicos ni signos meníngeos.
Se hospitalizó para estudio de síndrome parietal derecho y posible ataque cerebrovascular. Laboratorios iniciales, hemograma y química sanguínea, normales. Se tomó resonancia magnética de cerebro simple y contrastada, revelando múltiples lesiones de tamaños variados que comprometían ambos hemisferios cerebrales, la mayoría en el lado derecho, de apariencia redondeada y marcado edema a su alrededor, con realce en patrón anular, y una en hemisferio cerebeloso de similares características que sugieren lesiones metastásicas (Figura 1). En estudios de extensión se encontró en tomografía de tórax una opacidad en el segmento posterior del lóbulo inferior izquierdo con amputación de la luz bronquial para segmentos inferiores del lóbulo inferior. Hasta ese momento el paciente estaba enmanejo anticonvulsivante y analgésico. Se realizó biopsia de pulmón, la cual no fue conclusiva de lesión primaria infecciosa o inflamatoria, considerándose lesión cicatricial a su antecedente de tromboembolismo pulmonar. Los reportes del líquido cefalorraquídeo, incluidos citoquímico, hongos, tuberculosis, criptococo, antígenos bacterianos en la sangre; las pruebas para toxoplasmosis IgM e IgG, y VIH, fueron negativas. En el séptimo día de hospitalización la cefalea se intensificó y se encontraron signos de hipertensión endocraneana dados por diplopía y emesis. Se trasladó a unidad de cuidado intensivo y se inició manejo con esteroides y manitol a dosis adecuadas. Se estabilizó el cuadro y se decidió realizar biopsia cerebral guiada por estereotaxia (lesión parieto-occipital derecha); se aspiró material purulento, pero en el reporte definitivo no se hallan cultivos positivos ni malignidad en la patología. En ese momento el paciente no tenía diagnóstico y por resultado macroscópico de biopsia se inició antibioticoterapia endovenosa de amplio espectro: ceftriaxona, vancomicina, metronidazol, trimetroprim sulfametoxazol (TMP/SMX) y caspofungina.
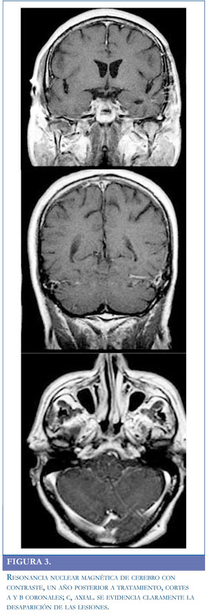
El paciente permaneció con cefalea pero mejora la hipertensión endocraneana. Los cultivos a la semana negativos y el paciente se estabilizó clínicamente. A los 25 días de su ingreso la resonancia de control no demostró clara mejoría y se realizó biopsia abierta de lesión temporal. A los 35 días de su ingreso el cultivo es positivo para Nocardia spp (Figura 2), por lo que se continúa manejo específico con TMP/SMX endovenoso hasta completar seis semanas. El manejo antifúngico y con esteroides se suspendió a los 15 días de su inicio al no tener clara mejoría y por los resultados icrobiológicos negativos. El paciente continuó la rehabilitación y a los dos meses se halla con leve alteración para la marcha sin diplopía ni síndrome parietal. Se continuó manejo oral con TMP/SMX hasta un año posterior a su hospitalización. En la resonancia magnética control tomada 18 meses posteriores a su ingreso, se evidenciaron cambios residuales no activos (Figura3). Se consideró resolución del cuadro y el paciente retornó a sus actividades.
Discusión
La nocardia se adquiere por inhalación, inoculación directa a través de la piel o tejido subcutáneo. Se ha descrito generalmente como oportunista, bacilo gram positivo estrictamente aerobio, ubicuito en el ambiente: suelo, agua, aire, entre otros. La bacteria recibe su nombre gracias a su descubridor, Edmond Nocard, en 1888 (4-6).
La infección es poco común; se reportan alrededor de 500 a 1.000 casos anuales en los Estados Unidos y hasta 250 en Francia (7-9). Generalmente se encuentra una lesión inicial en piel o en el pulmón que posteriormente se disemina al sistema nervioso central, siendo el segundo órgano más comprometido (4, 6, 10). En el SNC genera aproximadamenteel 2% de los abscesos, y es 2,5 a 3 veces más común en hombres que en mujeres (8, 11).
Mamelak, en 131 infecciones de Nocardia en el sistema nervioso central, encontró un 34% primarias, 20% secundarias a infección de la piel y 38% secundarias a lesión pulmonar (8). La mitad de los abscesos cerebrales por nocardia se producen en pacientes inmunocomprometidos, y se cree que la incidencia ha aumentado por mejorías en métodos diagnósticos por la identificación de la Nocardia spp. Se ha encontrado en pacientes inmunocoprometidos con infección por VIH, uso prolongado de esteroides, malignidad, enfermedad pulmonar localizada, trasplante, diabetes mellitus, abuso de alcohol, enfermedad granulomatosa y uso de drogas endovenosas (4, 5, 8, 10, 12).
En los seres humanos se presenta más comúnmente el subtipo N. asteroides; también puede haber infección con los subtipos N. farcinica, N. brasiliensis, N. transvalensis y N. otitidiscaviarum, entre otras (8). Hay seis formas de manifestación en el ser humano: pulmonar, sistémica, sistema nervioso central, extrapulmonar, cutánea o subcutánea, y actinomicetoma (5).
En el sistema nervioso central la clínica es insidiosa y generalmente no se acompaña de signos inflamatorios como fiebre (8). El síntoma más común es la cefalea. Según la localización del absceso se presentará sintomatología de focalización neurológica. También se han apreciado convulsiones. Si se tiene otro foco de infección, en su mayoría prima como la sintomatología inicial (2, 6, 9).
Se encuentran abscesos solitarios en cualquier localización del cerebro, y en una proporción considerable, abscesos múltiples (8, 11).
Las imágenes diagnósticas generalmente reportan lesión multilobulada que realza en anillo con edema perilesional (4, 9). Los estudios con radiotrazadores pueden sugerir absceso (10, 12). Como diagnóstico diferencial se debe pensar en lesiones tumorales primarias o secundarias, vasculitis, ataque cerebrovascular y hematoma en resolución (8, 10, 12-17). Es necesario informar al laboratorio cuando hay sospecha de nocardia, pues los cultivos se pueden demorar hasta cuatro semanas. Es raro encontrar nocardia en la punción lumbar y que el citoquímico del líquido cefalorraquídeo esté alterado (9).
La identificación temprana de nocardia cerebral mejora el pronóstico, en especial en pacientes inmunocomprometidos (1). Se debe tener en cuenta el compromiso inmune del paciente, la localización y el tamaño de la lesión, si es múltiple o única, y si existe relación con enfermedades extracraneanas (8, 18). En todo absceso cerebral el tratamiento quirúrgico es la piedra angular, pues obtiene el material para diagnosticar la etiología, reduce la cantidad de microorganismos y disminuye el efecto de masa y la presión intracraneana (2, 17, 19, 20).
La cirugía está indicada en quienes tienen abscesos mayores o iguales a 2,5 cm o menos con efecto de masa, en pacientes a los que se les inicia manejo conservador y no han tenido mejoría clínica o imagenológica (13, 21-23). No hay diferencia inicial en los resultados de cada una de las técnicas quirúrgicas, y dependerá de la experiencia del cirujano y de las características del paciente (19). En el caso del absceso multiloculado es necesario el drenaje quirúrgico, generalmente por técnica abierta. El manejo con antibiótico único se deja a los pacientes con lesiones cerebrales pequeñas y diagnóstico histológico tomado en otro lugar del organismo (2, 20).
Específicamente en nocardia, hay informes sobre pacientes manejados con múltiples aspiraciones si la primera no es satisfactoria; Mamelak reportó una alta mortalidad al tratar los abscesos con esta modalidad únicamente (2, 3, 11). Recomienda que para un paciente inmunocompetente con lesiones menores de 2 cm y lesión extracraneana donde se logre establecer diagnóstico, el inicio de antibiótico; si hay deterioro o no se presenta disminución de abscesos en 4 semanas, se debe implementar drenaje quirúrgico (8); si el paciente está inmunocomprometido y no tiene lesión extracraneana o lesiones mayores a 2,5 cm, realizar biopsia con aspiración esterotáxica; si hay falla en el manejo con deterioro clínico o no se da mejora radiológica, efectuar craneotomía y resección de las lesiones. Igualmente, si se piensa que clínicamente el paciente tiene deterioro rápido o la bacteria está presentando características agresivas, es mejor llevar a cabo tratamiento quirúrgico agresivo desde su inicio (8).
Estudios posteriores a Mamelak, con reportes prospectivos de casos y un número menor de éstos, afirman que si la lesión es accesible se debe practicar enucleación y luego tratamiento antibiótico. Por ejemplo, Fleetwood recomienda aspiración temprana en todos los casos de tal manera que se asegure material diagnóstico, incluidos los inmunocompetentes. Otros estudios aseveran que hay mejores resultados al aspirar inicialmente y continuar manejo antibiótico; de no haber respuesta se considera la craneotomía (2, 3, 24).
En la nocardiosis cerebral las indicaciones quirúrgicas con técnica abierta son: presión intracraneana elevada que cause descompensación, déficit neurológico progresivo, riesgo de ruptura intraventricular, septicemia y no respuesta al tratamiento inicial médico o por aspiración (1, 6, 9, 19, 22, 25).
El uso de esteroides es racional en ciclo corto para el caso de los abscesos cerebrales, pero se puede dejar para pacientes gravemente enfermos, especialmente si se cuenta que en el manejo sistémico de la nocardiosis se encontró aumento de la mortalidad (3, 9, 15, 20).
El antibiótico de elección es trimpetropim sulfa (TMP/SMX); también son efectivos la amikacina, el imipenem y la cefalosporina de tercera generación. En los pacientes con trasplante renal también se usó la minociclina, pero se evidenció progresión de la enfermedad hacia el sistema nervioso central, por lo tanto en este momento no es de uso corriente (3, 26). Si existe compromiso del sistema nervioso central el manejo con TMP/SMX debe administrarse durante un año mínimo, y si está en manejo inmunosupresor se puede dejar como tratamiento coadyuvante (8, 18, 24).
La mortalidad de los abscesos por nocardia es hasta tres veces mayor que en otros abscesos cerebrales. La mortalidad es del 33% para absceso único y del 24% si ha sido resecado. Esta mortalidad aumenta al 50% si el tratamiento es de sólo aspiración (1, 20). Claro está que el estado inmune de los pacientes es un factor muy importante que influye sobre la mortalidad (20, 22, 24, 27). Al individualizar los pacientes y sopesar riesgo-beneficio de una resección completa con cirugía abierta inicial, a veces no es la mejor opción (2).
Conclusiones
Este caso el paciente presentó clínica e imágenes inespecíficas que podrían sugerir enfermedad vascular, tumoral primaria, metástasis o infección. El manejo inicial fue conservador y se esperó hastala necesidad de la craneotomía abierta; inicialmente ninguna de las lesiones presentó diámetro mayor a 2,5 cm y no aumentaron las lesiones, mas sí el edema perilesional, lo cual finalmente generó que fuera llevado a cirugía, se obtuviera diagnóstico certero y el paciente finalmente obtuviera una resolución satisfactoria de su patología. Concordamos con lo expuesto por Fletwood y Hakan acerca de un manejo escalonado según las características individuales de los pacientes.
REFERENCIAS
1. LERNER PI. Nocardiosis. Clin Infect Dis. 1996; 22: 891-903.
2. FLEETWOOD IG, EMBIL JM, ROSS IB. Nocardia asteroides cerebral abscess in immunocompetent hosts: report of three cases and review of surgical recommendations. Surg Neurol. 2000; 53: 605-610.
3. KENNEDY KJ, CHUNG KH, BOWDEN FJ, MEWS PJ, PIK JH, FULLER JW, ET AL. A cluster of nocardial brain abscesses. Surg Neurol. 2007; 68: 43-49.
4. BEAMAN BL, BEAMAN L. Nocardia species: host-parasite relationships. Clin Microbiol Rev. 1994; 7: 213-264.
5. BOSE B, BALZARINI M. Diagnosis and Treatment of Nocardial Brain Abscess. Neurosurgery Quarterly 2002; 12: 182-193.
6. CORTI ME, VILLAFANE-FIOTI MF. Nocardiosis: a review. Int J Infect Dis. 2003; 7: 243-250.
7. BEAMAN BL, BURNSIDE J, EDWARDS B, CAUSEY W. Nocardial infections in the United States, 1972-1974. J Infect Dis. 1976; 134: 286-289.
8. MAMELAK AN, OBANA WG, FLAHERTY JF, ROSENBLUM ML. Nocardial brain abscess: treatment strategies and factors influencing outcome. Neurosurgery 1994; 35: 622-631.
9. BOIRON P, PROVOST F, CHEVRIER G, DUPONT B. Review of nocardial infections in France 1987 to 1990. Eur J Clin Microbiol Infect Dis. 1992; 11: 709-14.
10. NATH K, HUSAIN M, TRIVEDI R, KUMAR R, PRASAD KN, RATHORE RK, ET AL. Clinical implications of increased fractional anisotropy in meningitis associated with brain abscess. J Comput Assist Tomogr. 2007; 31: 888-893.
11. XIAO F, TSENG MY, TENG LJ, TSENG HM, TSAI JC. Brain abscess: clinical experience and analysis of prognostic factors. Surg Neurol. 2005; 63: 442- 449.
12. SABA PR, MCDONALD K, HUNN J, DASTUR K, CHABLANI V. Technetium-99m HMPAO labeled leukocytes as the primary diagnostic tool in a case of brain abscess. Clin Nucl Med. 1997; 22: 79-682.
13. SORRELL TC, MITCHELL DH, IREDELL RJ. Nocardia species. In: Mandell GL, Bennett JE, Dolin R, editors. Principles and practice of infectious diseases. Philadelphia: Elsevier Churchill Livingstone; 2005:2916-2923.
14. BORM W, GLEIXNER M. Nocardia Brain Abscess Misinterpreted As Cerebral Infarction. Journal Of Clinical Neuroscience 2003; 10: 130-132.
15. GELABERT-GONZÁLEZ M, SERRAMITOGARCÍA R, GARCÍA-ALLUT A, CUTRIN-PRIETO J. Management of brain abscess in children. J Paediatr Child Health 2008; 44: 731-735.
16. MENKU A, KURTSOY A, TUCER B, YILDIZ O, AKDEMIR H. Nocardia brain abscess mimicking brain tumour in immunocompetent patients: report of two cases and review of the literature. Acta Neurochir (Wien) 2004; 146: 411-414.
17. YAMADA SM, NAKAI E, TOYONAGA S, NAKABAYASHI H, PARK KC, SHIMIZU K. A rapidly enlarging nocardial brain abscess mimicking malignant glioma. J Nippon Med Sch 2005; 72: 308-311.
18. LEE GY, DANIEL RT, BROPHY BP, REILLY PL. Surgical treatment of nocardial brain abscesses. Neurosurgery 2002; 51: 668-671.
19. SAUBOLLE MA, SUSSLAND D. Nocardiosis: review of clinical and laboratory experience. J Clin Microbiol 2003; 41: 4497-4501.
20. VALAREZO J, COHEN JE, VALAREZO L, SPEKTOR S, SHOSHAN Y, ROSENTHAL G ET AL. Nocardial cerebral abscess: report of three cases and review of the current neurosurgical management. Neurol Res. 2003; 25: 27-30.
21. HAKAN T. Management of bacterial brain abscesses. Neurosurg Focus 2008; 24: E4.
22. MATHISEN GE, JOHNSON JP. Brain abscess. Clin Infect Dis. 1997; 25: 763-779.
23. THRELKELD SC, HOOPER DC. Update on management of patients with Nocardia infection. Curr Clin Top Infect Dis. 1997; 17: 1-23.
24. TSENG JH, TSENG MY. Brain abscess in 142 patients: factors influencing outcome and mortality. Surg Neurol. 2006; 65: 557-562.
25. TAKESHITA M, KAWAMATA T, IZAWA M, HORI T. Prodromal signs and clinical factors influencing outcome in patients with intraventricular rupture of purulent brain abscess. Neurosurgery 2001; 48:310-316.
26. WEBER L, YIUM J, HAWKINS S. Intracranial Nocardia dissemination during minocycline therapy. Transpl Infect Dis. 2002; 4: 108-112.
27. ABOA C, SALAMANO R, BRASELLI A, MANSILLA M, GALARET M, PEDREIRA W. Absceso recidivante por nocardia asteroides en una paciente portadora de poliglobulia primaria. Arq Neuropsiquiatr. 2006; 64: 526-529.