Acta Neurológica Colombiana
0120-8748
2422-4022
Asociación Colombiana de Neurología
https://doi.org/10.22379/anc.v41i3.1901

Recibido: 11 de agosto de 2024; Revision Received: 15 de enero de 2025; Aceptado: 29 de abril de 2025; : 14 de julio de 2025

Paquimeningitis hipertrófica crónica asociada a IgG4


Chronic hypertrophic pachymeningitis associated with IgG 4, a case study

D. Ramirez-Arango, 1* R. Vallejo-Serna, 12 M. Mayoral, 1234 J. Murcia-Caicedo, 134

Facultad de Salud, Universidad del Valle, Cali, Colombia Universidad del Valle Facultad de Salud Universidad del Valle Cali Colombia
Hospital Universitario del Valle Evaristo García, Universidad del Valle, Cali, Colombia Universidad del Valle Hospital Universitario del Valle Evaristo García Universidad del Valle Cali Colombia
Clínica Nuestra Señora de los Remedios, Cali, Colombia Clínica Nuestra Señora de los Remedios Cali Colombia
Pontificia Universidad Javeriana, Cali, Colombia Pontificia Universidad Javeriana Pontificia Universidad Javeriana Cali Colombia

Correspondencia/Correspondence: Daniela Ramirez-Arango, calle 5 #36-00, Hospital Universitario del Valle Evaristo García, Universidad del Valle, Cali (Valle del Cauca), Colombia. Correo-e: daniela.ramirez.arango@correounivalle.edu.co
Los autores declaran no tener conflictos de intereses relacionados con el presente artículo.

Por otra parte, los autores informan que obtuvieron el consentimiento informado por escrito del paciente para la publicación de este informe de caso, así como de las imágenes que lo acompañan.

Resumen

Introducción:

Se expone un caso clínico de paquimeningitis hipertrófica crónica secundaria a enfermedad relacionada con IgG4 (ER-IgG4), diagnosticado en el suroccidente colombiano y confirmado mediante biopsia meníngea, marcadores inmunohistoquímicos y niveles séricos elevados de IgG4. Estos hallazgos paraclínicos no habían sido reportados previamente en la literatura local, por lo que es relevante para la comunidad médica de nuestra región.

Presentación del caso:

Paciente masculino de 56 años que acude a consulta de urgencias por un cuadro de dos meses de evolución consistente en cefalea holocraneana asociada a náuseas, emesis, hipoacusia progresiva, pérdida de peso y alzas térmicas no cuantificadas. Dentro del estudio etiológico, se evidenció engrosamiento y realce paquimeníngeo difuso en la resonancia magnética cerebral, se descartaron patologías infecciosas, neoplásicas y enfermedades autoinmunes sistémicas, además, ante la ausencia de diagnóstico, se realizó una biopsia meníngea que finalmente reportó hallazgos histomorfológicos compatibles con ER-IgG4. El paciente presentó una mejoría clínica progresiva con el inicio de esteroides sistémicos.

Discusión:

Existen diferentes criterios para el diagnóstico o la clasificación de ER-IgG4, en los cuales, una constante fue demostrar la evidencia clínica o radiológica de compromiso de, al menos, un órgano sumado al criterio histológico. El pilar del tratamiento son los esteroides en dosis intermedias o altas, adicionalmente, cada vez hay más medicamentos inmunomoduladores que pueden disminuir o reemplazar el uso de esteroides en caso de intolerancia o refractariedad.

Conclusiones:

La afectación intracraneal de ER-IgG4 es rara, por esto, es importante estar familiarizado con su presentación clínica para sospecharla y tratarla oportunamente, evitando consecuencias fatales para el paciente.

Palabras clave:

cefalea, meningitis, meningitis crónica, paquimeningitis hipertrófica, enfermedades autoinmunes, enfermedad relacionada a IgG 4.

Abstract

Introduction:

The present report presents a case of chronic hypertrophic pachymeningitis secondary to IgG4-related disease diagnosed in southwestern Colombia, confirmed by meningeal biopsy, immunohistochemical markers and elevated serum levels of IgG4. These paraclinical findings had not been previously reported in the local literature, making them relevant to the medical community in our region.

Case presentation:

A 56-year-old male patient came to the emergency room for a two-month history of holocranial headache associated with nausea, emesis, progressive hearing loss, weight loss, and unquantified temperature increases. Within the etiological study, brain MRI revealed thickening and diffuse pachymeningeal enhancement, infectious, neoplastic pathologies and systemic autoimmune diseases were ruled out, and in the absence of a diagnosis, a meningeal biopsy was performed, which finally reported histomorphological findings compatible with sclerosing disease related to IgG4. The patient presented progressive clinical improvement with the initiation of systemic steroids.

Discussion:

There are different criteria for the diagnosis or classification of ER-IgG4, in which a constant is to demonstrate clinical and/or radiological evidence of involvement of at least one organ added to the histological criteria. The mainstay of treatment is steroids in intermediate or high doses with subsequent progressive tapering, relapses are not uncommon, however, there are more and more immunomodulatory medications that can reduce or replace the use of steroids in case of intolerance or refractoriness.

Conclusions:

Intracranial ER-IgG4 involvement is rare, therefore it is important to know its clinical presentation to suspect it and treat it promptly, avoiding fatal consequences for the patient.

Keywords:

Meningitis, Chronic meningitis, Hypertrophic pachymeningitis, Autoimmune diseases, IgG-related disease 4.

Introducción

El término paquimeningitis crónica hace referencia a la inflamación dural asociada a la aparición de signos y síntomas que persisten al menos durante cuatro semanas 1. Un número importante de entidades clínicas pueden manifestarse de esta manera y, en términos prácticos, pueden clasificarse en condiciones infecciosas, neoplásicas o inflamatorias autoinmunes 2-3. En este último grupo, se encuentra la enfermedad relacionada con IgG4 (ER-IgG4), entidad cuya afectación intracraneal es inusual 4. Las manifestaciones clínicas suelen ser diversas y pueden incluir cefalea, parálisis de nervios craneales, alteraciones visuales y auditivas, debilidad, parestesias y sintomatología resultante de compresión a nivel medular 5.

Se presenta un caso de paquimeningitis hipertrófica crónica como manifestación inicial de ER-IgG4 ya que esto es una de las partes novedosas por lo raro de la manifestación, además de la confirmación con todos los criterios. Estos hallazgos paraclínicos no habían sido reportados previamente en la literatura local, por lo que se hace relevante para la comunidad médica de nuestra región.

Presentación del caso

Paciente masculino de 56 años, agricultor y de etnia indígena procedente del suroccidente colombiano, quien consultó al servicio de urgencias por cefalea holocraneana de dos meses de evolución, asociada a náuseas, emesis, pérdida de peso y disminución de la audición de reciente aparición. Al examen físico se encontraron signos vitales y examen cardiopulmonar normales, sin adenopatías palpables. En la valoración neurológica se evidenció hipoacusia bilateral, sin compromiso de otros nervios craneales, fuerza y sensibilidad conservadas, reflejos miotendinosos normales y sin signos meníngeos.

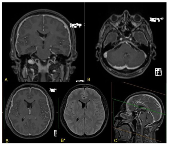
Dentro de los estudios iniciales se evidenció proteína C reactiva (PCR) aumentada (120 mg/l); hemograma, función renal, glucosa sérica y electrolitos normales; estudios para enfermedades infecciosas crónicas negativos (VIH, tuberculosis, hepatitis B, hepatitis C y sífilis); se realizó tomografía de cráneo simple (TAC) sin alteraciones; y se complementó el estudio con una resonancia magnética nuclear (RMN) simple y contrastada, en la que se documentaron signos de paquimeningitis (figura 1).

Resonancia magnética de cerebro con contraste

Figura 1: Resonancia magnética de cerebro con contraste

Nota: secuencias potenciadas en T1 posterior a la administración de contraste en planos Coronal (A), axial (B) y sagital (C), asociado a corte axial en secuencia FLAIR (B*) en las que se evidencia engrasamiento paquimeníngeo difuso, bihemisférico e infratentorial, con espesor máximo de 4mm frontal bilateral, sin otros hallazgos anormales.
Fuente: elaboración propia.

Ante este resultado, se procedió con punción lumbar, encontrando pleocitosis mononuclear y proteinorraquia, con estudios negativos para enfermedades infecciosas (tabla 1). Se tamizó para neoplasia con tomografías de cuello, tórax, abdomen y pelvis, las cuales fueron normales.

Tabla 1: Resultado de estudios en líquido cefalorraquídeo (LCR)

Estudio LCR #1 Estudio LCR #2
Color Incoloro Incoloro
pH 7,5 7,5
Glucosa 63 mg/dl 71 mg/dl
Proteínas 98 mg/dl 82 mg/dl
LDH 56 U/l 52 U/l
Celularidad PMN: 1 /mm3 PMN: 0 /mm3
L: 60 /mm3 L: 72 /mm3
M: 30 /mm3 M: 26 /mm3
Glóbulos rojos 3 /mm3 10 /mm3
Gram Negativo Negativo
Ziehl-Neelsen Negativo
PCR Mycobacterium tuberculosis Negativo Negativo
Tinta china Negativo Negativo
Antígeno Cryptococcus Negativo
VDRL No reactivo
Citología Negativa para malignidad
Citometría de flujo Sin hallazgos patológicos
Panel meníngeo* Negativo
Cultivo para bacterias, hongos - Mycobacterium Negativos. Negativos

Nota: L: linfocitos; LCR: líquido cefalorraquídeo; LDH: lactato deshidrogenasa; M: monocitos; PMN: polimorfonucleares; VDRL: prueba serológica para la sífilis (venerealdisease research laboratory). Panel meningitis/encefalitis®: PCR FilmArray para E. coli K1, H. influenzae, L. monocytogenes, N. meningitidis, S. agalactiae, S. pneumoniae, citomegalovirus, enterovirus, herpes simple 1, 2 y 6, parechovirus humano, varicela zoster y C. neoformans/gattii.

Fuente: elaboración propia.

También se consideró la posibilidad de enfermedades autoinmunes sistémicas, por lo que se solicitó el perfil de autoanticuerpos: ANA (siglas en inglés para anticuerpos antinucleares), ENA (siglas en inglés para antígenos nucleares extraíbles) por técnica Elisa (anti-SSA, anti-RNP, anti-SM, anti-SSB) y ANCA (siglas en inglés para anticuerpos anticitoplasma de neutrófilos) por IFI (inmunofluorescencia indirecta), los cuales fueron negativos; C3, C4 y los niveles de enzima convertidora de angiotensina estuvieron en rangos normales. Se solicitaron, además, niveles séricos de IgG y el subtipo IgG4, los cuales se reportaron elevados (2359 mg/dl y 545 mg/dl, respectivamente), en una relación del 20 %.

En una segunda punción lumbar, se encontraron características similares a la previa, se procesaron muestras para citología, citometría de flujo, bandas oligoclonales, nuevos cultivos y pruebas moleculares para M. tuberculosis con resultados negativos (tabla 1). Dado lo anterior, se indicó la toma de biopsia de meninges, la cual mostró fibrosis esclerosante con cambios inflamatorios linfoplasmocitarios, sin evidencia de lesión tumoral, granulomas o necrosis (figura 2). En la inmunohistoquímica, se reportaron hallazgos compatibles con enfermedad esclerosante relacionada con IgG4 (figura 3). Se indicó tratamiento con metilprednisolona endovenosa de 500 mg/día por tres días. Luego, continuo tratamiento con prednisolona de 1mg/kg/dia y azatioprina, con lo cual el paciente presentó mejoría auditiva significativa y resolución completa de los demás síntomas.

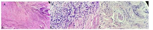
Histopatología de la biopsia de meninges

Figura 2: Histopatología de la biopsia de meninges

Nota: A. Tinción hematoxilinaeosina (H&E): se observó un tejido meníngeo con infiltrado linfoplasmocitario, presencia de fibrosis esclerosante y patrón estoriforme. B. Tinción H&E: se observó tejido meníngeo con proliferación anormal de plasmocitos y presencia de fibroblastos. C. Tinción H&E: se observó flebitis obliterante en tejido meníngeo.
Fuente: elaboración propia.

Inmunohistoquímica de la biopsia de meninges

Figura 3: Inmunohistoquímica de la biopsia de meninges

Nota: se observaron células plasmáticas con expresión de IgG4 en el 90 % de la placa.
Fuente: elaboración propia.

Discusión

El término paquimeningitis crónica se refiere a la inflamación y el engrosamiento de la duramadre, que persiste por al menos cuatro semanas y suele asociarse con la presencia variable de síntomas neurológicos y el realce meníngeo en la RMN del encéfalo.

Respecto a su etiología y de acuerdo con la literatura, en más de un tercio de los casos se consideran idiopáticas 1; sin embargo, se deben estudiar inicialmente las enfermedades infecciosas prevalentes en el medio 2. Una vez descartadas, se debe dirigir la búsqueda a otras condiciones como las neoplasias, la histiocitosis o las patologías reumatológicas, entre las cuales destacan: sarcoidosis, granulomatosis con poliangeitis, artritis reumatoide o síndrome de Sjögren 3.

Específicamente, la ER-IgG4 representa aproximadamente el 10 % de las paquimeningitis inflamatorias, sin embargo, es posible que exista un subregistro de esta, debido a que se incluyó como etiología específica solo desde el año 2009, con su primer reporte oficial 6; y hasta el año 2014, solo se habían documentados 46 casos a nivel mundial 7, muy pocos de estos reportados en América Latina y Colombia 8-9.

Lo usual en esta patología es que comience con afectación en el páncreas. La mayoría de los estudios publicados han sido de Japón, con una prevalencia de pancreatitis autoinmune de 0,8 casos por cada 100 000 habitantes 10, sin reportes en otras áreas geográficas. De esta prevalencia, el 80 % se asoció a ER-IgG4 11, mientras que otras estructuras frecuentemente afectadas incluyeron glándulas salivales o lacrimales, pulmones, riñones, retroperitoneo, compromiso orbitario, mamas, próstata, nódulos linfáticos o tejidos blandos, pudiendo comprometer casi cualquier estructura de la anatomía humana 12.

La afectación intracraneal es rara y comúnmente se da como paquimeningitis hipertrófica o hipofisitis, además, puede afectar a las meninges intracraneales o intraespinales, y presenta predilección por la duramadre más que por las leptomeninges 4. Según una revisión de casos realizada en el año 2014, en la paquimeningitis hipertrófica secundaria a ER-IgG4 comprobada por biopsia se encontró como presentación clínica más frecuente: cefalea (67 %), parálisis de nervios craneales (33 %), alteración visual (21 %), debilidad (15 %), parestesias en extremidades (12 %) y pérdida auditiva neurosensorial (9 %), además de otros síntomas resultantes de la compresión hipertrófica de la médula espinal 5.

En los estudios histopatológicos se encuentra: infiltración del tejido linfoplasmocitario con predominio de células plasmáticas positivas para IgG4, fibrosis estoriforme y flebitis obliterante, desarrollando masas similares a tumores por la acumulación de células B, células T y macrófagos 13. La asociación de IgG4 sérica elevada y un mayor número de células positivas para IgG4 en los tejidos con enfermedades fíbroinflamatorias todavía es muy poco entendida. Se cree que las células T auxiliares foliculares en conjunto con la interleuquina-10 redirigen la maduración de células B hacia la clase IgG4, es por esto que se considera la elevación sérica un signo patognomónico presente en aproximadamente el 70-90 % de los casos. El papel que tienen los macrófagos en la generación de fibrosis es aún tema de investigaciones 5,13-15.

En cuanto a los hallazgos imagenológicos, la ER-IgG4 puede manifestarse como un engrosamiento dural lineal o como una masa abultada. En TAC, las lesiones durales típicamente aparecen engrosadas e hiperdensas y realzan después de la administración de contraste yodado. En cuanto a la RMN, en la secuencia T2 puede observarse tejido engrosado y relativamente hipointenso, con focos dispersos ocasionales de hiperintensidad sugestivos de inflamación, mientras que en la secuencia T1, potenciado con gadolinio, se puede obtener una resolución espacial superior y facilitar la identificación de inflamación activa a lo largo de los bordes durales 4. Adicionalmente, se ha descrito el uso de la tomo-grafía computarizada por emisión de fotón único con galio-67 para obtener imágenes corporales que permiten evaluar el estado general de la enfermedad y su respuesta al manejo 16.

Para su diagnóstico, en el año 2020, el Ministerio de Salud japonés describió los criterios clasificatorios para la ER-IgG4 17. Adicionalmente, se describieron los criterios americanos y europeos de la EULAR/ACR 2019 18, por medio de los cuales se determinó la inclusión de un caso probable (figura 4).

Resumen criterios EULAR/ACR 2019 para clasificación de ER-IgG4

Figura 4: Resumen criterios EULAR/ACR 2019 para clasificación de ER-IgG4

Nota: los puntos se asignan según hallazgos de histología e inmunotinción, para ver la puntuación asignada a cada criterio remitirse a la publicación original 18.
Fuente: elaboración propia.

En el paciente descrito, se encontro cefalea y perdida auditiva como manifestaciones clinicas principales, asociada a engrosamiento paquimeningeo difuso en RMN, como manifestación clínica principal. Al descartar enfermedades infecciosas en el líquido cefalorraquídeo (LCR) y la presencia de imágenes sugerentes de malignidad en otros órganos, se pensó en patologías reumatológicas, teniendo como único resultado positivo en el perfil de autoanticuerpos los niveles elevados de IgG4 plasmática, por lo que se indicó la biopsia meníngea compatible con infiltrado linfoplasmocitario y fibrosis esclerosante con expresión de IgG4 en el 90 % de la placa, cumpliendo así con todos los criterios de clasificación para ER-IgG4.

Es importante recalcar que todos los pacientes con enfermedad sintomática activa o con compromiso severo, aún en ausencia de síntomas, requieren manejo, dado que el tratamiento oportuno puede lograr la remisión completa y temprana, disminuyendo el riesgo de complicaciones y recurrencia 19.

Lo infrecuente de la ER-IgG4 con compromiso meníngeo exclusivo hace que no existan estudios clínicos respecto al manejo, por lo que se extrapolan las recomendaciones estudiadas en otros órganos, siendo el pilar del tratamiento los esteroides en dosis intermedias o altas, principalmente prednisona a 0,6 mg/kg/día (de 30 a 40 mg), manteniéndose de dos a cuatro semanas, con una disminución progresiva en las semanas siguientes 20; la respuesta usualmente es rápida y favorable, siendo la falta de respuesta un criterio de exclusión de ER-IgG4 18.

Cuando no se logra el control de la enfermedad con los esteroides o aparecen efectos secundarios severos, puede asociarse al manejo un fármaco antirreumático modificador de enfermedad (DMARD, según sus siglas en inglés), con la intención de disminuir la dosis de esteroides, dentro de los que se incluyen: rituximab, micofenolato mofetilo, azatioprina, ciclofosfamida, leflunomida, metotrexato y tacrolimus 21.

En este caso, se observó una mejoría significativa de los síntomas con el inicio de la metilprednisolona y una remisión subtotal con la inclusión del DMARD; sin embargo, las recaídas son frecuentes y pueden alcanzar hasta un 30 %, por lo que se recomienda el mantenimiento con prednisona en dosis bajas, de 2,5 a 7,5 mg/día, por lo menos durante seis meses, en conjunto con el uso de rituximab, el cual se ha descrito como el agente de mantenimiento con mayor reducción de recaídas, pudiendo llegar a ser efectivo incluso aún sin uso de esteroide concomitante 22. El esquema más frecuentemente usado es de dos dosis de 1000 mg separados por 15 días. De momento, no existe recomendación de otros inmunomoduladores por sus resultados variables 23.

Conclusiones

Se presenta el caso de un paciente masculino del suroccidente colombiano con paquimeningitis hipertrófica crónica, secundaria a ER-IgG4, como única manifestación de la enfermedad, siendo esta una entidad clinica. La ER-IgG4 es una entidad clínica que puede afectar a casi cualquier órgano, de manera simultánea o metacrónica.

Así mismo, existen diferentes criterios para el diagnóstico o la clasificación de ER-IgG4, por lo que se debe demostrar la evidencia clínica o radiológica de compromiso de al menos un órgano sumado al criterio serológico e histológico. El pilar del tratamiento son los esteroides en dosis intermedias o altas, con posterior disminución progresiva; además, las recaídas son frecuentes, sin embargo, cada vez hay más medicamentos inmunomoduladores que pueden disminuir o reemplazar el uso de esteroides en caso de intolerancia o refractariedad. Se aporta a la literatura el primer caso con diagnóstico definitivo de paquimeningitis hipertrófica crónica por ER-igG4 en Colombia.