Acta Neurológica Colombiana
0120-8748
Asociación Colombiana de Neurología
https://doi.org/10.22379/24224022201

Recibido: 14 de septiembre de 2016; Aceptado: 4 de abril de 2018

Déficit de proteína S en un caso pediátrico de trombosis de senos venosos cerebrales


Protein S deficiency in a pediatric case of cerebral venous sinus thrombosis

M. Calderón Gasea, (1)*

Médica Pediatra de la Universidad de la Sabana. Fellow de Hemato-Oncología Pediátrica de la Universidad Militar Nueva Granada, Bogotá, Colombia. Universidad Militar Nueva Granada Universidad Militar Nueva Granada Bogotá Colombia

Correspondencia: Magda Alejandra Calderon, calderongasca@gmail.com

RESUMEN

La trombosis venosa cerebral (TVC) representa el 0,5 % de todos los eventos vasculares cerebrales a nivel mundial; es una entidad compleja y de difícil diagnóstico, dada la variabilidad en el modo de presentación, el pronóstico y la diversidad de condiciones médicas que la originan. Ocurre por obstrucción del drenaje venoso cerebral. Su principal manifestación en lactantes y niños son las convulsiones.

Este es el caso de una TVC por déficit de proteína S en un paciente pediátrico, el objetivo de este caso es destacar la importancia de la sospecha e identificación temprana de la enfermedad, así como la búsqueda del factor desencadenante. La TVC es una entidad grave, es potencialmente tratable y su pronóstico dependerá de la oportunidad del diagnóstico e intervención.

PALABRAS CLAVES:

Proteína S, Senos Craneales, Trombofilia, Trombosis, Trombosis de los Senos Intracraneales (DeCS).

SUMMARY

Cerebral venous sinus thrombosis represents 0.5 % of all cases worldwide. Is a complex pathology cause the variability in presentation mode, prognosis and different medical conditions that cause it. The cause is the obstruction of cerebral venous drainage, the main manifestation in infants and children are seizures.

This is the case of cerebral venous sinus thrombosis in a pediatric patient with protein S deficiency, the goal of this case is to recognize the importance of suspicion and early identification of the disease and the search of the trigger. The cerebral venous sinus thrombosis is a serious entity, but potentially treatable and prognosis depend on the timing of diagnosis and intervention.

KEY WORDS:

Protein S, Cranial Sinuses, Trombofilia, Thrombosis, Sinus Thrombosis, Intracranial (MeSH).

INTRODUCCIÓN

El déficit de proteína S (pS) es un defecto autosómico dominante descrito en 1984, con una frecuencia estimada de trombosis del 5 al 10 % en las familias con el defecto; confiere un riesgo similar al de los pacientes con deficiencia de proteína C. Antes de 1980 solo se contaba con algunos reportes de casos de trombosis en pacientes pediátricos, debido a que las deficiencias de antitrombina, proteína C y S tienen pocas manifestaciones durante la niñez 1-3.

El diagnóstico se basa en la medida de la actividad anticoagulante de la pS y de su nivel de antígeno (pS total o libre). Existen tres formas biológicas de la enfermedad. Los tipos I y III son los más comunes, siendo déficits cuantitativos, con un nivel bajo de antígeno libre (nivel normal de pS total en el tipo III y reducción del nivel de pS total en el tipo I), y el tipo II es un déficit cualitativo muy raro 1-3.

Presentación de caso

Lactante menor, masculino, ingresó al servicio de urgencias por cuadro respiratorio de 3 días de evolución de tos y fiebre; al ingreso, con desaturación y signos de dificultad respiratoria leve, rápidamente presentó deterioro de la mecánica respiratoria, con polipnea y aumento del requerimiento de oxigeno suplementario. De forma concomitante se instauró un cuadro de deterioro neurológico, con crisis convulsivas generalizadas en un paciente sin antecedentes neurológicos relevantes; se inició manejo anticonvulsivante de primera línea y fue trasladado a la unidad de cuidado intensivo pediátrico para manejo con ventilación mecánica, donde adicionalmente se hizo diagnóstico de neumonía.

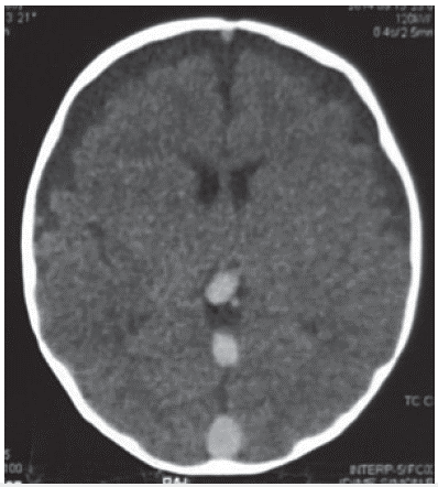
Se realizó un electroencefalograma en el que no se observaron descargas epileptiformes y una tomografia axial computarizada cerebral en la que se evidenció una trombosis de todos los senos venosos cerebrales (figura 1).

Tomografia axial computarizada cerebral en la que se evidenció una trombosis de todos los senos venosos cerebrales.

Figura 1: Tomografia axial computarizada cerebral en la que se evidenció una trombosis de todos los senos venosos cerebrales.

Fuente: autora.

Se inició estudio de hipercoagulabilidad, con reporte de tiempos de coagulación, fibrinógeno, antitrombina, proteína C, anticuerpos anticardiolipinas, resistencia a la proteína C activada, factor V Leyden, factor II G 20210A y homocisteína, en el rango de la normalidad.

Se realizó ensayo para la medición de la pS antígeno libre y actividad, cuyos resultados fueron: pS libre antigénica del 40 %; pS libre anticoagulante (actividad) del 36 %; y pS total del 48 %. Este resultado fue confirmado en un control posterior, dada la posibilidad de estudios con resultados anormales en el periodo agudo.

Con estos resultados, se hace diagnóstico de déficit de la pS tipo I. Se inició anticoagulación con heparina de bajo peso molecular por 3 meses, con resolución del cuadro, con neuroimagen control a las 4 semanas y con senos venosos en recanalización. El paciente no presentó nuevos episodios de convulsiones y continuó controles de forma ambulatoria.

DISCUSIÓN

La trombosis venosa cerebral (TVC) se define cuando aparecen de forma aguda síntomas sistémicos o neurológicos focales compatibles y con diagnóstico por imagen de trombosis en venas cerebrales o senos venosos 4-6. Su incidencia en niños es del 0,4 al 0,6 / 100.000 por año. El 50 % ocurren en menores de 1 año y es el doble de frecuente en varones. Es una causa reconocida de ictus en la infancia 7-9.

En el 30 % de los casos se presenta de forma aguda y los síntomas se desarrollan en menos de 48 horas. Aproximadamente la mitad de los casos tienen presentación subaguda y los síntomas se desarrollan entre 48 horas y 30 días. La forma crónica es el 20 % de los casos y los síntomas se desarrollan en un período mayor a 30 días y hasta en 6 meses 4,10,11. En la forma aguda, se suelen manifestar datos de focalización neurológica 12,13, como es el caso de este paciente, con inicio subagudo de la clínica con convulsiones como primera manifestación de deterioro neurológico, siendo, además, compatible con la clase de presentación según la edad. Se ha sugerido que en recién nacidos y lactantes la presentación clínica más frecuente son las convulsiones, a diferencia del niño mayor, cuya principal sintomatología está dada por el aumento de la presión intracraneana 9,10,14,15.

En la mayoría de los pacientes se logra identificar el factor de riesgo como la presencia de procesos infecciosos o alteraciones de la coagulación; en términos generales, las trombosis se clasifican en sépticas y asépticas 16-18. Este paciente tenía como factor de riesgo el déficit de la pS y como factor precipitante un proceso infeccioso en curso, como la neumonía.

CONCLUSIÓN

La TVC es una entidad dinámica, con múltiples manifestaciones clínicas y espectros en el tratamiento y pronóstico; en la población pediátrica se estima una prevalencia de 7 casos por millón 2. La disponibilidad de métodos de imagen no invasivos en nuestro medio, la oportunidad en el diagnóstico y el tratamiento temprano, así como la posibilidad de identificación de factores predisponentes, tanto congénitos como adquiridos que favorecen estados trombofílicos, han ocasionado un impacto positivo en la morbimortalidad por trombosis venosa cerebral.