Acta Neurológica Colombiana
0120-8748
Asociación Colombiana de Neurología
https://doi.org/10.22379/24224022202

Recibido: 26 de diciembre de 2016; Aceptado: 19 de abril de 2018

Amnesia anterógrada debida a lesión bilateral de los hipocampos en un paciente probablemente intoxicado con metanol


Anterograde amnesia due to bilateral lesion of the hippocampus in a patient probably intoxicated with metanol

J. Lizarazo, (1)*M. Novoa, (2)

Médico neurólogo. Departamento de Medicina Interna, Hospital Universitario Erasmo Meoz, Cúcuta, Colombia. Departamento de Medicina Interna Hospital Universitario Erasmo Meoz Cúcuta Colombia
Neuropsicóloga. Coneuro, Cúcuta. Neuropsicóloga Cúcuta

Correspondencia: Jairo Lizarazo, jflizar@gmail.com

RESUMEN

Se presenta el caso clínico de un hombre de 56 años que ingresó con un cuadro agudo de alteración de la conciencia luego de intoxicación alcohólica. Durante su hospitalización se evidenció alteración de la memoria anterógrada y neuropatía óptica derecha. Las imágenes diagnósticas demostraron lesiones bilaterales de los hipocampos, globos pálidos y corteza cerebral frontal paramediana. La evaluación neuropsicológica confirmó una grave amnesia anterógrada que mejoró muy poco al cabo de 2 años de seguimiento. A pesar de la falta de confirmación por el laboratorio, las manifestaciones clínicas y las imágenes están a favor de una intoxicación por metanol. Se llama la atención sobre esta rara presentación clínica.

PALABRAS CLAVES:

Metanol, Sistema Nervioso central, Ganglios Basales, Hipocampo, Amnesia, Memoria, Demencia, Enfermedades del Nervio Óptico (DeCS).

SUMMARY

We report the case of a 56-year-old man who was hospitalized because acute altered consciousness after alcoholic intoxication. During his hospitalization, there was observed an alteration of anterograde memory and right optic neuropathy. Diagnostic images showed bilateral lesions of the hippocampus, globus pallidus and paramedian cerebral frontal cortex. The neuropsychological evaluation confirmed a severe anterograde amnesia that barely improved after 2 years of follow up. Despite the lack of confirmation by the laboratory, the clinical manifestations and imaging results are in favor of methanol intoxication. Attention is drawn to this rare clinical presentation.

KEY WORDS:

Methanol, Central Nervous System, Basal Ganglia, Hippocampus, Amnesia, Memory, Dementia, Optic Nerve Diseases (MeSH).

INTRODUCCIÓN

El metanol es un alcohol incoloro, inflamable, empleado comúnmente como solvente industrial en la manufactura de soluciones de uso personal, como lociones y perfumes, en síntesis química y como combustible 1. La ingesta accidental o suicida de metanol es muy tóxica y puede ser potencialmente fatal, a pesar de un óptimo tratamiento 2. Las dos principales complicaciones neurológicas de la intoxicación por metanol son la neuropatía óptica y la necrosis de los núcleos basales, especialmente de los putámenes, las cuales ocurren, generalmente, durante una intoxicación grave 3. Los pacientes que sobreviven frecuentemente presentan secuelas permanentes, consistentes en ceguera bilateral y alteración motora que incluye rigidez, hipoquinesia y otros síntomas parkinsonianos 4.

A continuación, presentamos un caso clínico de probable intoxicación por metanol que cursó con una amnesia anterógrada grave, debida a lesiones de los hipocampos y que, además, presentó lesión de los globos pálidos y neuropatía óptica unilateral.

Presentación del caso

Se trata de un hombre de 56 años, residente en Cúcuta, con escolaridad de bachillerato completo, conductor de maquinaria pesada, que ingresó al servicio de urgencias del Hospital Universitario Erasmo Meoz de Cúcuta (HUEM) el 22/9/13 por alteración persistente de la conciencia. El día anterior había estado ingiriendo bebidas alcohólicas en su casa, luego salió y volvió horas después en un estado que los familiares interpretaron como de intoxicación etílica; el paciente se acostó y al día siguiente, al no recuperar la conciencia, lo trasladan al HUEM. El paciente tenía el antecedente de ingesta de bebidas alcohólicas cada semana, hasta la embriaguez, durante por lo menos 15 años.

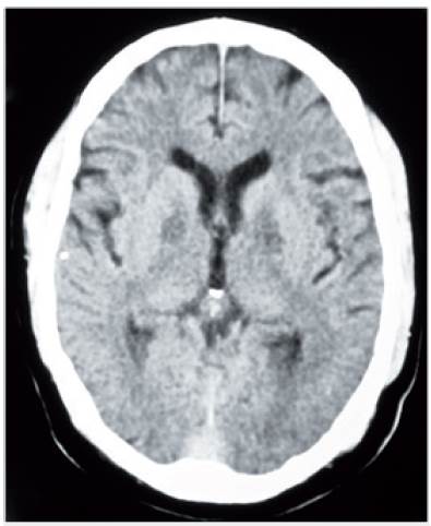
En el examen de ingreso lo encontraron inconsciente, sin respuesta verbal, ni apertura ocular, pero con respuesta motora normal; los signos vitales eran normales. No presentaba signos focales neurológicos. La TAC de cráneo simple de ingreso mostró lesiones hipodensas simétricas de los globos pálidos; incidentalmente se identificó una calcificación cortical temporal derecha (figura 1).

TAC de cráneo simple: lesiones hipodensas simétricas de los globos pálidos.

Figura 1: TAC de cráneo simple: lesiones hipodensas simétricas de los globos pálidos.

Fuente: autores.

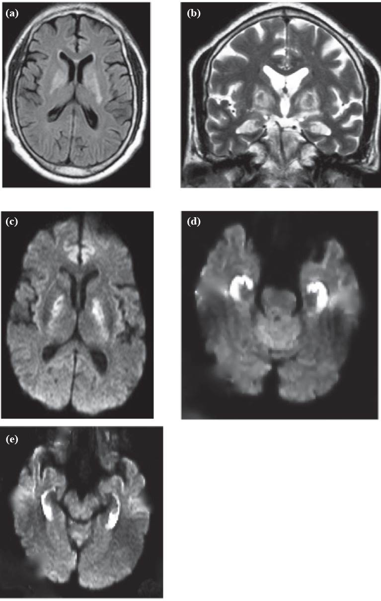
Se le dio manejo de sostén y el 23/9/13 fue valorado por neurología, que lo encuentra soñoliento, con signos vitales normales, lenguaje escaso fluente, moderada confusión mental y sin alteraciones focales. El cuadro hemático, la química sanguínea que incluyó las pruebas de función hepática y el parcial de orina fueron normales. Se le realizaron gases arteriales que fueron normales y se le solicitó estudio de medición de metanol, el cual no se pudo realizar. Se le solicitó una resonancia magnética (RM) de cerebro simple (26/9/13) que mostró lesiones bilaterales simétricas hipointensas en T1 e hiperintensas en FLAIR, T2 y DWI de los globos pálidos, de los hipocampos y de la corteza cerebral paramediana frontal (figura 2).

Resonancia magnética de cerebro simple: (a) lesiones hiperintensas de los globos pálidos en la secuencia axial del FLAIR; (b) corte coronal en T2, lesiones hiperintensas con centro hipointenso de los globos pálidos, lesiones homogéneamente hiperintensas de los hipocampos; (c) corte axial en DWI que muestra restricción de la difusión en los globos pálidos y en la corteza cerebral frontal paramediana bilateral; (d) y (e) cortes axiales en DWI que muestran restricción de la difusión en los hipocampos.

Figura 2: Resonancia magnética de cerebro simple: (a) lesiones hiperintensas de los globos pálidos en la secuencia axial del FLAIR; (b) corte coronal en T2, lesiones hiperintensas con centro hipointenso de los globos pálidos, lesiones homogéneamente hiperintensas de los hipocampos; (c) corte axial en DWI que muestra restricción de la difusión en los globos pálidos y en la corteza cerebral frontal paramediana bilateral; (d) y (e) cortes axiales en DWI que muestran restricción de la difusión en los hipocampos.

Fuente: autores.

Durante su estancia hospitalaria, el paciente mejoró su estado de conciencia, pero se hizo evidente una amnesia anterógrada y pérdida de la visión por el ojo derecho, con un fondo de ojo que mostró palidez del disco óptico. El estudio de potenciales evocados visuales mostró ausencia del potencial en el ojo derecho y una respuesta normal en el izquierdo.

Evaluación neuropsicológica: la evaluación neuropsicológica inicial se realizó en octubre de 2013 y la de control se hizo 2 años después.

Orientación: orientado en persona y espacio, en el tiempo se sitúa correctamente en día de la semana y mes. No realiza correctamente la ubicación del año en ninguna de las sesiones de evaluación.

Atención: se encuentra alerta con capacidad de inhibición de estímulos irrelevantes. En la focalización se observó que presenta fallas mínimas. La ejecución en el TMTA estuvo en un nivel normal, debido a que logra mantener la atención en periodos cortos; en TMTB evidencia habilidad para alternar dos estímulos. En algunas pruebas omitió detalles que puede ser atribuido a falla atencional. No hubo cambios entre la evaluación inicial y de control. El tiempo medido para dichos test fueron enlentecidos.

Memoria: el paciente tiene dificultad para codificar, almacenar y evocar información sencilla de tipo verbal, lo cual se puede evidenciar en la repetición de dígitos, recuerdo libre a corto plazo y recuerdo con claves a largo plazo. En la evaluación inicial de la curva de memoria de California, comparada con la evaluación control, se evidencia dificultad para realizar nuevos aprendizajes, a pesar de que en la curva de control aumentó el número de palabras aprendidas. La memoria de trabajo, memoria lógica, visual, episódica y semántica continúan comprometidas.

Lenguaje: la producción lingüística y el manejo del lenguaje se hallan preservados, lo cual le permite mantener un discurso constante y congruente con adecuada ilación y sin evidencia de alteración orgánica. En el subtest de denominación se observa buen uso del vocabulario. Su fluidez verbal semántica se encuentra por debajo del rango normal. La comprensión auditiva, repetición y lectura se encuentran preservada.

Gnosias y praxias: reconoce adecuadamente los estímulos de su contexto. La utilización de herramientas y objetos cotidianos se encuentran preservados. Presenta habilidad en reproducción visual. En la figura de Rey se evidencia dificultad en planeación, abstracción y organización perceptual. Presenta leve dificultad en coordinación del movimiento ojo-mano.

Funciones ejecutivas: su capacidad de medir e inhibir impulsos se encuentran levemente alterados, tiene dificultad para diseñar una estrategia de solución, su velocidad de procesamiento es baja para su edad. Presenta dificultad en abstracción y conceptualización de elementos de tipo no verbal.

Emocional: conserva un estado de ánimo plano. El familiar menciona que no ha dado muestra de irritabilidad y tiende a ser "muy tranquilo".

Funcionalidad: el paciente presentó una leve alteración en sus actividades diarias, ya que requería de cuidados después de la salida del hospital. Actualmente el paciente es autónomo en sus actividades cotidianas y su ABC es preservado.

En la tabla 1 se consignan los resultados de las pruebas neuropsicológicas realizadas. El seguimiento del paciente confirmó la atrofia óptica derecha con pérdida total de la visión. La RM de control (26/4/15) mostró encefalomalacia de los globos pálidos y atrofia hipocampal bilateral. El paciente no pudo volver a trabajar.

Tabla 1: Resultados de las pruebas neuropsicológicas

Fuente: autores.

DISCUSIÓN

El metanol es metabolizado por la enzima hepática alcohol deshidrogenasa a formaldehido y ácido fórmico; este último es el responsable de los efectos tóxicos, debido a la acidosis metabólica y a la toxicidad intrínseca del anión formato 5. El tratamiento de la intoxicación por metanol consiste en la corrección de la acidosis metabólica y en la utilización del antídoto para inhibir el metabolismo del metanol a su metabolito tóxico el ácido fórmico. Durante mucho tiempo se ha utilizado al etanol; en los últimos años se ha venido utilizando con buen resultado el fomepizol debido a su bloqueo selectivo de la alcoholdeshidrogenasa 6. La hemodiálisis es otro elemento importante, en el tratamiento de los casos graves 6. No obstante, la mortalidad es alta (8-36 %) en la intoxicación por metanol 7; con frecuencia se describen brotes de intoxicación masiva, usualmente asociados a uso de alcohol etílico adulterado con metanol 8. Aunque a nuestro paciente no se le confirmó bioquímicamente la intoxicación por metanol, el antecedente de ingesta etílica y las manifestaciones clínicas y de las imágenes diagnósticas permiten afirmarlo.

La atrofia del nervio óptico es la secuela neurológica más conocida de la intoxicación metílica 5, la cual se acompaña de pérdida visual y puede ser uni o bilateral 9 y se presenta en un 20-40 % de los casos 7. Los potenciales evocados visuales son una prueba diagnóstica muy útil en su diagnóstico, aun en presencia de lesiones subclínicas 10. De las lesiones encefálicas, la más común es la necrosis isquémica o hemorrágica bilateral de los putámenes 1. También se han descrito lesiones de los núcleos caudados, globos pálidos, sustancia blanca profunda, corteza cerebral, cerebelo, tálamo y mesencéfaco, así como hemorragia cerebral e intraventricular 1-2. Excepcionalmente, se han descritos casos con lesiones de los hipocampos 11. Nuestro paciente presentó lesión unilateral del nervio óptico, de los globos pálidos, de la corteza cerebral frontal bilateral y de los hipocampos.

El hallazgo clínico más importante de nuestro paciente fue la amnesia anterógrada, que atribuimos a la lesión de los hipocampos. No encontramos en PubMed, una base de datos activa desde 1966, una descripción de un caso similar (consulta realizada el 12 de diciembre de 2016). Desde 1957 se conoce que la lesión bilateral de los hipocampos produce pérdida de la memoria reciente 12. Inicialmente, se identificó en pacientes sometidos a cirugías de resección temporal medial bilateral, en casos de epilepsia intratable o de psicosis 12. Existe consenso general en que la memoria semántica premórbida no es afectada luego de daño bilateral temporal mesial. Lo que sí es debatido es la afectación de la memoria episódica remota luego de la lesión hipocampal bilateral 13. De acuerdo a la teoría del Modelo Estándar de Consolidación de la memoria, la recuperación de la memoria depende del hipocampo durante la consolidación, proceso durante el cual se forman nuevas memorias más resistentes a la disrupción; una vez completado este proceso, la recuperación involucra únicamente a la corteza cerebral sin necesidad del hipocampo. Así, la lesión bilateral del hipocampo debe producir una amnesia retrógrada temporalmente graduada con mayor afectación de la memoria reciente que de la memoria remota.

Por otra parte, la teoría de las Trazas Múltiples arguye que los lóbulos temporales mediales siempre son necesarios para la recuperación de la memoria episódica; esta teoría propone que el complejo hipocampal (el propio hipocampo y las estructuras vecinas) codifican información aprendida y la fijan a las neuronas corticales (y otras) que representan esa experiencia en una traza de memoria. La recuperación de las trazas de memoria episódica requiere de la recodificación que lleva a la formación de múltiples trazas mediadas por el complejo hipocampal. Según esto, las memorias más antiguas están representadas por numerosas y más fuertes trazas que las memorias más nuevas. De acuerdo con esta teoría, la extensión y gravedad de la memoria episódica está relacionada con la cantidad de daño hipocampal y con la edad de la memoria 13-14.

Lo que no es motivo de discusión es el papel crítico del hipocampo en la codificación eficiente y en el recuerdo normal de nueva información. Esto es especialmente cierto con la memoria episódica anterógrada; existe falta de acuerdo sobre su papel en la memoria semántica reciente. Estudios psicológicos recientes han propuesto que las memorias anterógradas pueden ser recuperadas por medio de dos procesos: el de recolección, en el cual la recuperación de los ítems está asociada con detalles contextuales y el proceso de familiaridad, en donde los estímulos son reconocidos sin recuperación de otros detalles 15. Estos procesos involucran al hipocampo, especialmente el de recolección. El hipocampo también está implicado en el aprendizaje de nuevas memorias espaciales 14. La amnesia anterógrada encontrada en nuestro paciente corresponde con lo descrito en las lesiones hipocampales 12-14.

En el diagnóstico diferencial de cuadros agudos de afectación bilateral de los hipocampos se deben considerar: el infarto cerebral en territorio de ambas arterias cerebrales posteriores; la amnesia global transitoria, luego de estatus epiléptico; las encefalitis herpética y límbica; el síndrome de desmielinización osmótica extrapóntico; las encefalopatías posreanimación e hipoglicémica; y en la intoxicación por opioides 16-21. La grave amnesia anterógrada de este caso, debida a la lesión bilateral de los hipocampos por una probable intoxicación por metanol, invita a tener en cuenta esta rara complicación, especialmente en los servicios de hospitalización que tratan pacientes con intoxicaciones exógenas.