Acta Neurológica Colombiana
0120-8748
Asociación Colombiana de Neurología
https://doi.org/10.22379/24224022203

Recibido: 1 de febrero de 2017; Aceptado: 9 de abril de 2018

Sobreposición del síndrome de Miller Fisher y encefalitis de Bickerstaff en pediatría: reporte de caso


Overlap of Miller Fisher syndrome and Bickerstaff encephalitis in pediatrics: Case report

V. Rozo Hernández, (1)*P. Trigos Pallares, (2)J. Useche Gómez, (3)M. Piñeros Fernández, (1)M. Soto Trujillo, (4)

Neuropediatra, Hospital Universitario Fundación Santafé de Bogotá, Colombia. Hospital Universitario Fundación Santafé de Bogotá Colombia
Intensivista pediatra, Fundación Santafé. Fundación Santafé
Neurorradiólogo, Fundación Santafé. Fundación Santafé
Psiquiatra infantil y de adolescentes, Fundación Santafé. Fundación Santafé

Correspondencia: Victor Manuel Rozo, victormrozo@gmail.com.

RESUMEN

Se describe el caso en pediatría de la sobreposición del síndrome de Miller Fisher y la encefalitis de Bickerstaff en presencia de perfil de anticuerpos positivos para anti-GQ1b en un niño de 6 años, quien presenta un compromiso tronco-encefálico y luego entra en una encefalopatía con compromiso de nervio periférico. El presente caso es relevante en relación con los escases de artículos semejantes en la literatura pediátrica, con pocos precedentes en la literatura publicada hasta la fecha.

PALABRAS CLAVES:

síndrome de Miller Fisher, Encefalitis del tallo cerebral de Bickerstaff, Anticuerpo anti-GQ1b (DeCS).

SUMMARY

To describe the pediatric case of the overlap of Miller Fisher syndrome and Bickerstaff encephalitis in the presence of an anti-GQ1b positive antibody profile in a 6-year-old boy who presents with a brainstem compromise and progress to encephalopathy with peripheral nerve compromise, the present case is relevant in relation to the scarcity of similar articles in pediatric literature with few precedents in the literature published to date.

KEY WORDS:

Miller Fisher Syndrome, Bickerstaff's brainstem encephalitis, Anti-GQ1b antibody (MeSH).

INTRODUCCIÓN

Las neuropatías desmielinizantes agudas son un grupo de enfermedades autoinmunes y posinfecciosas con un espectro común de hallazgos clínicos. Las más conocidas son el síndrome de Guillain-Barré y el síndrome de Miller Fisher, enfermedades que afectan al sistema nervioso periférico, así como la encefalitis del tallo cerebral de Bickerstaff, considerada una enfermedad del sistema nervioso central.

El síndrome Miller-Fisher es una variante del síndrome de Guillain-Barré 1. La enfermedad se caracteriza por una triada de signos dados por oftalmoplejía, arreflexia y ataxia asociados a anticuerpos dirigidos al gangliosido anti-GQlb. Por su parte, la encefalitis de Bickerstaff incluye síntomas y signos de oftalmoplejía ataxia y reducción del estado de conciencia. La primera descripción de la encefalitis fue informada en dos publicaciones en 1951 y 1957 2,3. Recientemente se ha relacionado con la seropositividad de anticuerpos anti-GQ1b 4.

La incidencia del Guillain-Barré a nivel mundial es de 1-2/100 000 habitantes por año 5. El síndrome de Miller Fisher representa aproximadamente el 1-5 % de todos los casos de síndrome de Guillain-Barré en los países occidentales 6; a su vez, la encefalitis de Bickerstaff tiene una incidencia de 0,078/100 000 habitantes 7. Sin embargo, la presencia de estos tres síndromes puede sobreponerse, debido a que los tres síndromes hacen parte del espectro de los síndromes anti-GQ1b 4.

La gran mayoría de los informes en la literatura se han centrado en cada una de estas patologías por aparte; no obstante, la sobreposición de los tres síndromes es una entidad grave e inusual, de la cual hay poca información en la literatura. De manera reciente se ha informado en ocho casos 8-15, todos en población adulta. En pediatría hay un reporte de una sobreposición Miller Fisher-Bickerstaff que haría parte del espectro clínico referido 5.

La relevancia del caso está en que es una patología rara con características de sobreposicion de estos síndromes en presencia de perfil de anticuerpos positivos para anti-GQ1b y hallazgos radiológicos en la resonancia con compromiso encefálico en un paciente pediátrico y compromiso del nervio periférico distal por los hallazgos electromiográficos.

Presentación del caso

Un niño de género masculino de 6 años, con clínica de 16 horas de diplopía, fotofobia, somnolencia, ataxia y agitación. Dos semanas previas antes había presentado enfermedad diarreica aguda y síntomas respiratorios altos, coriza y tos ya resueltos. Al examen físico se identifica midriasis bilateral no reactiva a la luz, somnolencia, limitación de movimientos oculares en plano horizontal y compromiso de los pares oculomotores III y VI bilaterales como hallazgos positivos.

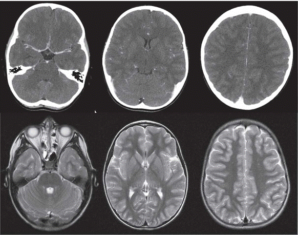
Se le realizó una escanografía cerebral simple y contrastada normal, así como una resonancia magnética cerebral simple normal (figura 1). En las siguientes 24 horas presentó: deterioro neurológico dado por pérdida de la conexión con el medio; pruebas vestibulares negativas; reflejo corneano negativo derecho y positivo izquierdo; pupilas midriática no reactivas; oculocefalógiros negativos; hiperreflexia transitoria con posterior hiporreflexia; luego arreflexia; sin reflejos superficiales cutáneos abdominales; cremasterino; falla ventilatoria y, en su evolución, signos de disautonomía dados por episodios de bradicardia y taquicardia, hipertensión e hipotensión.

Resonancia cerebral de ingreso del paciente.

Figura 1: Resonancia cerebral de ingreso del paciente.

Nota: arriba, cortes axiales de escanografía cerebral con contraste normales, mostrando vasos del polígono, senos sigmoideos, regiones gangliobasales, ventrículos y parénquima cerebral normales. Abajo, cortes axiales con información T2 de resonancia magnética con medio de contraste, sin evidencia de infartos, sangrados, lesiones que ocupan espacio o realces anormales que sugieran meningitis. Signos de sinusitis esfenoetmoidal bilateral Fuente: autores.

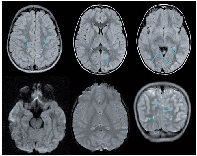
En resonancia magnética cerebral al sexto 6 día de enfermedad, presenta edema cortical mínimo bifronto-parietal (figura 2). Al día doceavo 12 de enfermedad, la resonancia magnética cerebral evidencia realce cortical mínimo bifrontoparietal mediales y temporales, así como compromiso de tallo en región anterior izquierda y leve compromiso de bulbo bilateral a nivel lateral con realce de la señal de pares craneanos simétricos (III, V, VI, VII, VIII y complejo de pares bajos). Se confirma imagenológicamente romboencefalitis mas encefalitis (figura 3). Se identifican bandas oligoclonales positivas, 3 bandas en líquido cefalorraquídeo (LCR), no presentes en sangre. Anticuerpos IgG anti-GQ1b positivos, 1 en 6 400 (VR 1 en 100); anticuerpos antireceptor NMDA negativos (tabla 1). Electroencefalograma 1-2 normal y electromiografía y velocidades de conducción ondas H ausentes. Ondas F discretas. Presencia de polineuropatía desmielinizante aguda. Potenciales auditivos de tallo cerebral con enlentecimiento. Potenciales somato-sensoriales normales.

Resonancia cerebral del sexto día de enfermedad del paciente.

Figura 2: Resonancia cerebral del sexto día de enfermedad del paciente.

Nota: arriba, cortes axiales de RM cerebral, secuencias FLAIR, que muestran áreas de edema cerebral cortical frontoparietal, temporal y occipital bilateral (flechas). Abajo, cortes axiales con información de difusión DWI y secuencia de susceptibilidad magnética, sin evidencia de infarto o sangrado agudo y coronal T2, nuevamente áreas de edema cerebral en corte coronal (flechas). Fuente: autores.

Imagen de Resonancia Cerebral del paciente que evidencia compromisos: Cortical, Piramides, y de los Pares Craneanos III y V bilaterales.

Figura 3: Imagen de Resonancia Cerebral del paciente que evidencia compromisos: Cortical, Piramides, y de los Pares Craneanos III y V bilaterales.

Nota: A y B, cortes axiales de RM cerebral, secuencias FLAIR. Muestran persistencia de áreas de edema cerebral cortical frontal y temporal (flechas); C, Corte axial T2 muestra edema de la pirámide izquierda comparada con derecha (flechas); D, corte axial con información de difusión DWI, lo que evidencia alteración de la señal en hipocampo izquierdo (flecha); E y F, cortes axiales con información T1 con contraste, que muestra realce de pares craneanos, el par III en E y par V bilateralmente en F (flechas). Fuente: autores.

Tabla 1: Reporte de examenes inmunológicos del paciente

Fuente: Laboratorio clínico Fundación Santafé de Bogotá.

Se considera cuadro de Miller Fisher más una sobreposición de la encefalitis de Bickerstaff. En el rastreo infeccioso solo se identificó presencia de anticuerpos anti Legionella positivos, por lo que se trató con claritromicina, antígenos Legionella negativo, prueba en orina tomada al octavo 8 día de tratamiento. El tratamiento se realizó con inmunoglobulina; la primera infusión endovenosa se inició a las 36 horas de iniciado el cuadro y posteriormente recibió una segunda infusión de inmunoglobulina a dosis de 2 g/k de peso; dosis total y metilprednisolona 30 mg/k dosis. Las disautonomías fueron manejadas con propanolol y dexmedetomidina. El paciente requirió gastrostomía y traqueotomía entre la cuarta y la quinta semana; restableció conexión con el medio e inició su recuperación progresiva.

DISCUSIÓN

El caso analizado presentó disartria, oftalmoplejia ataxia y arreflexia, precedido de una infección respiratoria y un cuadro de diarrea que cumple con la triada diagnóstica de un síndrome de Miller Fisher 16. Sin embargo, también presentaba: deterioro del estado de conciencia; encefalopatía asociado a la positividad de los anticuerpos anti-GQ1b y de los hallazgos de hiperreflexia; falla respiratoria por compromiso de tronco cerebral; compromiso del III par completo (motor y visceral: midriasis fija), los IV, VI y VII pares craneanos en forma bilateral; oculocefalógiros negativos; pruebas vestibulares con agua fría negativas; ausencia de reflejo ciliespinal, compatible con la encefalitis de tronco encefálico de Bickerstaff 7. En relación con ello, consideramos que el paciente presentaba los hallazgos relevantes para configurar un caso de sobreposición del síndrome de Miller Fisher y encefalitis de Bickerstaff.

Esto se correlaciona con los hallazgos radiológicos en resonancia cerebral contrastada a los 12 días, donde se identificó romboencefalitis e inflamación cortico-subcortical, fronto-parietal bilateral y de los potenciales somato-sensoriales. Los potenciales auditivos de tallo mostraban una pobre respuesta en su replicación, lo que confirmaba el compromiso tronco-encefálico 17. Las bandas oligoclonales fueron positivas en líquido cefalorraquídeo, lo que confirmó una reacción inmunológica positiva de antígeno-anticuerpo sérica, que traspasaba la barrera hematoencefalica propia del síndrome de Fisher-Bickerstaff 16.

Considerar el síndrome de Guillain-Barré, el síndrome de Miller Fisher y la encefalitis de bickerstaff como un variado espectro de presentación de un mismo mecanismo autoinmune asociado a un disparador infeccioso 18 y ligado a la presencia de anticuerpos al ganglisoido anti-GQ1b 4,8,10,12,14,15,19 ha cobrado fuerza. El antígeno GQ1b se expresa en la región citoplasmática de la mielina en los usos musculares de las extremidades, así como en las uniones neuromusculares del oculomotor troclear y abducens 19,20. También está presente en los nervios glosofaríngeo y vago; además, en el tallo cerebral y en el ganglio ciliar o placa terminal del musculo del esfínter pupilar 12,20. El anticuerpo se adhiere a la unión neuromuscular, generando una liberación de acetilcolina y produciendo una alteración en la trasmisión nerviosa 12,20, lo que genera las manifestaciones clínicas de este síndrome.

Como se mencionó, el tratamiento se fundamentó en dos bolos de inmunoglobulina (2 g/k) y bolos de metil-prednisolona (30 mg/día por 5 días) 21. El control de resonancia 8 días después de haber recibido un segundo esquema de inmunoglobulina muestra mejoría en los hallazgos con una sutil persistencia de algunas de las lesiones; asimismo, los estudios de neuroconducciones fueron compatibles con una polineuropatía por la presencia de actividad de bajo voltaje y ausencia de reflejos H y ondas F discretas. El control hecho 15 días después mostró mejor replicación de actividad eléctrica en las velocidades de conducción, con duplicación en el voltaje de sus potenciales de acción; indicativo de mejoría electrofisiológica 16,17.

El estudio de líquido cefalorraquídeo fue normal, lo que descartó neuroinfección. El panel de estudio para etiologías infecciosas en sangre y líquido cefalorraquídeo solo mostró títulos positivos para Legionela sp en suero. La Legionela se ha llegado a documentar como agente etiológico en algunos casos de Guillain-Barré, sin embargo, en el Fisher-Bickerstaff, la literatura los asocia al Haemophilus Influenza y el Campylobacter Jenuni 18.

Los estudios que permiten asegurar un agente infeccioso como el detonante para la respuesta inmunológica propia de una polineuropatía desmielinizante requieren de la cuantificación del probable agente infeccioso y de los anticuerpos antigangliósidos (anti-GQ1b, anti-GM1 y anti-GD1) desde el inicio de la enfermedad, en la fase de meseta y en la de resolución 18.

La respuesta clínica del paciente pasó del coma al estupor, favorecido por la sedación y analgesia dada con Dexmetomidina. El paciente no respondía al dolor y se comportaba como si estuviese en coma; no obstante, los estudios con electroencefalograma en dos ocasiones confirmaron la presencia de actividad cerebral y descartaron actividad epiléptica, hallazgos compatibles con lo descrito en la literatura 22.

CONCLUSIÓN

Este caso es propio de del síndrome de sobreposición entre un Miller Fisher y una encefalitis de Bickerstaff, con seropositividad de anticuerpos anti-GQ1b, una entidad infrecuente en el espectro de los síndromes asociadas a antigangliosidos con pocos reportes en adultos y más raro en pediatría; es preciso tener en cuenta que la encefalitis de Bickerstaff en pediatría solo ha sido reportado en 47 casos 23.

El presente caso ilustra el comportamiento de la enfermedad, su agresividad y su difícil manejo y control. Asi mismo, el tratamiento fue soportado en la inhibición de la lesión neuromuscular generada por la actividad de los anticuerpos anti-GQ1b por medio de inmunoglobulinas polivalentes 24. Además, es ilustrativo de los hallazgos imagenológicos; hay muy pocos casos que describan los mismos, debido a que los hallazgos en resonancia solo están presentes en el 10 al 30 % de los casos. Es anecdótico que comprometa el cerebro a nivel cortical 5,25,26 y que también tenga estudios de neuroconducción compatibles con una polineuropatía aguda, por la inusual presencia de actividad de bajo voltaje y ausencia de reflejos H y ondas F discretas. Sin embargo, los resultados fueron adecuados y el niño se recuperó progresivamente hasta lograr independencia y actualmente continúa en rehabilitación.

Aspectos éticos

Se contó con consentimiento informado por parte de los padres del paciente para la publicación de la información, incluyendo el resultado de laboratorios y las imágenes diagnósticas presentadas.